Last Updated on: 16th abril 2026, 09:50 am
La hiperdoncia es una condición en la cuál a una persona le salen más dientes de lo normal. A esos dientes de más se les llama dientes supernumerarios. Pueden aparecer en niños o adultos, en cualquier parte de la boca. En Channel Islands Family Dental, con sedes en Ventura, Oxnard, Newbury Park, Port Hueneme y Santa Paula, diagnosticamos y tratamos la hiperdoncia para pacientes de todas las edades.
Si usted o su hijo/a sienten que tienen más dientes de lo normal, es muy probable que estén en lo correcto. Algunas personas nacen con dientes extra, y a esto se le conoce como hiperdoncia.
Aunque puede sonar preocupante, es una condición más común de lo que parece. En el condado de Ventura, los dentistas la diagnostican con frecuencia, y en la mayoría de los casos se puede tratar de forma sencilla y segura.
En esta guía encontrará una explicación clara y fácil de entender sobre la hiperdoncia: qué es, por qué ocurre y qué opciones de tratamiento existen, todo en palabras simples y sin términos complicados.
Table of Contents
Toggle¿Qué es la hiperdoncia?

La mayoría de las personas tienen 20 dientes de leche durante la infancia y, más adelante, 32 dientes permanentes en la edad adulta. Cuando alguien desarrolla más dientes de lo normal, a esto se le llama hiperdoncia.
- Estos dientes adicionales se conocen como dientes supernumerarios, un término que simplemente significa “más de lo necesario”.
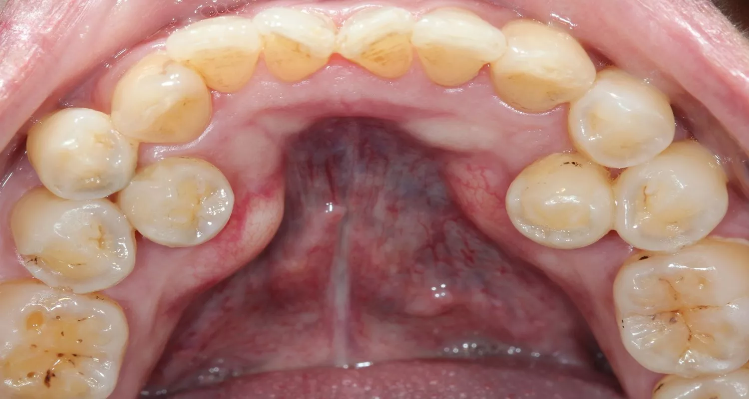
- Pueden aparecer en cualquier parte de la boca, aunque es más común verlos en la parte superior, especialmente en la zona de los dientes frontales.
- Algunas personas tienen solo un diente extra, mientras que otras pueden tener varios.
También es posible que escuche otros nombres para esta condición, como dientes de más o dientes accesorios. Todos estos términos hacen referencia a lo mismo.
¿Cómo son los dientes extra?
No todos los dientes extra iguales. Estos son los tipos más comunes:
- Mesiodens: El más común. Es un diente pequeño que crece detrás o entre los dos dientes de enfrente (los incisivos centrales superiores).
- Paramolar: Un diente extra que crece al lado de los molares (muelas del fondo).
- Distomolar: Un diente extra que crece detrás del último molar, aún más al fondo de la boca.
- Cónico: Tiene forma de cono pequeño, como un palito.
- Suplementario: Se ve igual que un diente normal, simplemente es uno extra.
- Tuberculado: Tiene forma de barril. Con frecuencia se queda escondido dentro del hueso y no sale por su cuenta.
Algunos dientes extra salen a través de la encía (erupcionados), y otros quedan atrapados dentro de la mandíbula o el maxilar (impactados). Los dientes impactados solo se pueden ver con una radiografía dental.
¿Por qué aparece la hiperdoncia?

Los investigadores todavía no han encontrado una sola causa para la hiperdoncia. Lo que sabemos es que parece estar relacionada con una combinación de factores genéticos y del desarrollo. Dicho de forma sencilla: algunas personas simplemente nacen con esa tendencia.
La hiperdoncia también se ve con más frecuencia en personas que tienen ciertas condiciones de salud, entre ellas:
- Síndrome de Gardner (una condición genética que también puede afectar la piel y el colon)
- Displasia cleidocraneal (una condición que afecta cómo se desarrollan los huesos)
- Labio o paladar hendido (labio leporino)
- Síndrome de Down
- Síndrome de Ehlers-Danlos
Sin embargo, muchas personas con dientes extra no tienen ninguna de estas condiciones. Puede ocurrir por sí sola, sin ninguna causa aparente. También es más común en hombres que en mujeres.
¿Qué siente o ve el paciente? Señales de la hiperdoncia
Muchas personas con hiperdoncia no sienten ningún dolor ni molestia, especialmente si los dientes extra están escondidos dentro del hueso. En esos casos, la única manera de descubrirlos es a través de una radiografía dental de rutina.
Sin embargo, algunos pacientes sí notan cosas como:
- Un diente o dientes que se ven raros o están en un lugar inusual
- Dientes muy juntos, apretados o torcidos
- Un espacio entre los dientes de enfrente que no se cierra solo (llamado diastema)
- Un diente de leche que no se cae a tiempo, porque un diente extra está bloqueando al diente permanente que viene abajo
- Un diente permanente que nunca sale, porque un diente extra escondido lo está bloqueando
- Encías inflamadas o sensibles en una zona específica
- Dificultad para masticar o morder bien
Si usted o su hijo/a presenta alguna de estas señales, lo mejor es programar una visita dental en alguna de nuestras clínicas de Channel Islands Family Dental en Ventura, Oxnard, Newbury Park, Port Hueneme o Santa Paula.
¿Cómo se diagnostica la hiperdoncia?

Diagnosticar la hiperdoncia es generalmente sencillo. Esto es lo que puede esperar:
- Examen clínico: Su dentista mirará con cuidado dentro de su boca para ver si hay dientes extra visibles.
- Radiografías dentales (panorámica o periapical): Son la herramienta más importante para encontrar dientes extra, especialmente los que no han salido todavía. Una radiografía panorámica da una imagen completa de todos los dientes y el hueso del maxilar.
- Tomografía computarizada (CT scan): En casos más complejos, se puede recomendar una tomografía 3D. Esto da una imagen muy detallada y ayuda al dentista a planificar el tratamiento con precisión.
En Channel Islands Family Dental, usamos tecnología digital moderna de radiografías en todas nuestras sedes en Ventura, Oxnard, Newbury Park, Port Hueneme y Santa Paula, para detectar la hiperdoncia de manera temprana y precisa.
¿Cómo tratamos la hiperdoncia en nuestras clínicas?
No todos los dientes extra necesitan ser extraídos de inmediato. El tratamiento depende de si el diente está o no causando problemas. Así es como nuestros dentistas en Channel Islands Family Dental Office lo manejan:
Monitoreo (observar y esperar)
Si el diente extra es pequeño, no causa dolor, no está bloqueando otros dientes y no dificulta la higiene, el dentista puede recomendar simplemente monitorearlo con radiografías periódicas. Esto es común en niños cuya boca todavía está en desarrollo.
Extracción (sacar el diente)
Este es el tratamiento más frecuente. El diente extra se quita quirúrgicamente, generalmente con anestesia local (una inyección para adormecer la zona). Este procedimiento es rutinario en nuestras clínicas y la gran mayoría de los pacientes lo toleran muy bien.
La extracción se recomienda típicamente cuando el diente extra:
- Está bloqueando la salida normal de un diente permanente
- Está causando que otros dientes se aprieten o se tuerzan
- Dificulta cepillarse y usar el hilo dental correctamente (lo que aumenta el riesgo de caries)
- Está causando inflamación o dolor en las encías
- Afecta la apariencia o la confianza del paciente
Tratamiento ortodóntico

Después de que se extrae un diente extra, es posible que los dientes restantes necesiten ser guiados a su posición correcta. Su dentista puede referirle a un ortodoncista para brackets o alineadores transparentes que corrijan la posición.
Manejo del dolor
Si un diente extra causa molestia leve, su dentista puede sugerir analgésicos de venta libre como el ibuprofeno como medida temporal mientras se organiza el plan de tratamiento.
Nuestros dentistas en Channel Islands Family Dental, en todo el condado de Ventura, evalúan cada caso de forma individual. El tratamiento correcto para usted o su hijo/a depende del tipo, la ubicación y el impacto del diente extra.
Este artículo es sólo para fines informativos. Consulte a su dentista para recibir atención y diagnóstico personalizado.
Preguntas frecuentes
Búsqueda por voz (Q&A)
Referencias
1. Ata, A. F., Ata, A. J., Penarrocha, O. D., & Penarrocha, D., M. (2014). Prevalence, etiology, diagnosis, treatment and complications of supernumerary teeth. Journal of Clinical and Experimental Dentistry, 6(4), e414-8. https://doi.org/10.4317/jced.51499
2. Cleveland Clinic. (2023, November 17). Hyperdontia (extra teeth): Symptoms, causes & treatment. https://my.clevelandclinic.org/health/diseases/hyperdontia
3. Jewell, T. (2018, September 29). Hyperdontia: Do I need to have my extra teeth removed? Healthline. https://www.healthline.com/health/hyperdontia
4. Leonard, J. (2023, June 27). Hyperdontia: Definition, types, and treatment. https://www.medicalnewstoday.com/articles/hyperdontia
5. Subasioglu, A., Savas, S., Kucukyilmaz, E., Kesim, S., Yagci, A., & Dundar, M. (2015). Genetic background of supernumerary teeth. European Journal of Dentistry, 09(01), 153–158. https://doi.org/10.4103/1305-7456.149670