
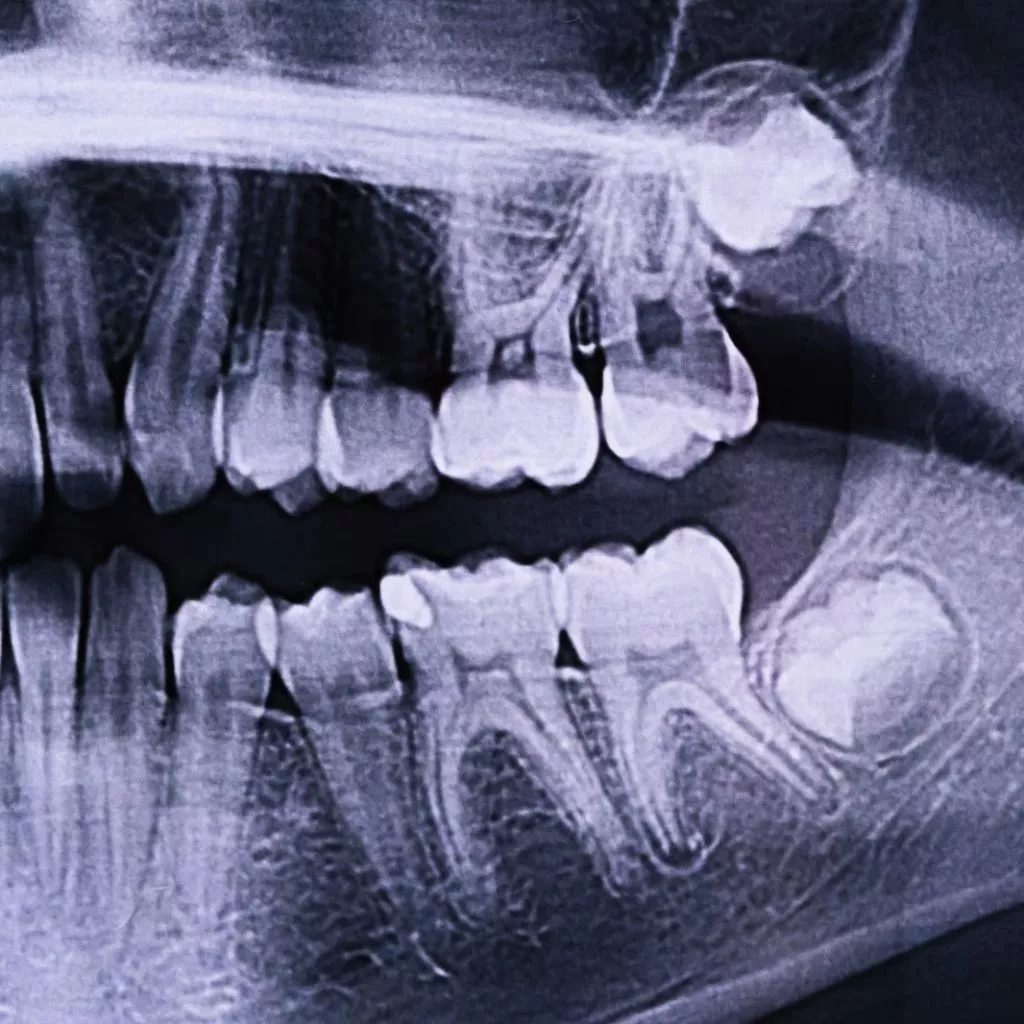
Imagen Dental Intraoral
En Channel Islands Family Dental, utilizamos imágenes dentales intraorales de última generación para ofrecer evaluaciones precisas y detalladas de su salud oral. Esta avanzada tecnología nos permite capturar imágenes de alta calidad de sus dientes y encías, lo que permite planes de tratamiento precisos y personalizados. Visite nuestras ubicaciones en Oxnard, Santa Paula, Ventura, Newbury Park y Port Hueneme para descubrir cómo la imagen dental intraoral puede mejorar su experiencia de cuidado dental.