Last Updated on: 9th January 2026, 11:45 am
What is tooth decay?
Dental caries are a chronic, infectious, and multifactorial disease. They occur within the tooth structure in contact with microbial deposits and, due to the biochemical imbalance between the tooth substance and the surrounding fluid , a loss of mineral from the tooth surface ensues. The sign is the localized destruction of hard tissues. It is classified as a communicable and irreversible disease and can lead to cavitation and alterations of the dentin-pulp complex.

Very prevalent during childhood, it constitutes an important public health problem due to its magnitude and significance. It usually appears in children and young adults, but it can affect anyone and is the most important cause of tooth loss in younger people.
90% of the world population has or has had cavities. This disease is only cured by going to the dentist to eliminate the cavities (they do not heal or disappear on their own); on the contrary, as time goes by, the condition worsens. Now treatment depends on the state of the caries, especially if they are advanced.
How to prevent
Currently there are many preventative methods to stop cavities from forming: the correct brushing technique, biannual dental cleanings, the use of fluoride, sealants for pits and fissures. When the caries have already formed, the decayed tissue can be eliminated and restored with synthetic material called dental resin; but many times, patients allow them to advance too far such that they destroy much of the tooth tissue, making special and expensive treatments required, such as root canals, endoposts, inlays, or fixed prostheses to restore the functionality of the tooth. In extreme cases there is no solution and the affected tooth is lost.

Dental caries are a disease of multifactorial origin stemming from the interaction of three main factors: the host (oral hygiene, saliva and teeth), the microflora (bacterial infections) and the substrate (cariogenic diet). In addition to these factors, another must be taken into account: time. For a cavity to form, the conditions of each factor must be favorable; that is, a susceptible host, a cariogenic oral flora, and an appropriate substrate be present for a specified period of time.
Dental carie
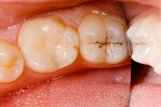
The first sign of a dental carie is the appearance of a color change in the tooth; it becomes whitish and dull. In this initial phase, the lesion is still reversible and the cavity can be avoided.
If the lesion persists, a yellow, brown or black border is observed in the carious area. In the most advanced phase, there is already a loss of dental tissue, and the enamel ends up breaking. A cavity appears in the tooth in a brown or black color.
Decay generally progresses slowly. After penetrating the second, somewhat softer and less resistant layer of the tooth, called dentin, the decay spreads rapidly and progresses into the dental pulp, the deepest part of the tooth, where the nerves and blood vessels reside. Although it can take 2 to 3 years for a cavity to penetrate the enamel, in just one year it can travel a much greater distance and go from the dentin to the pulp. Therefore, root decay that begins in the dentin can destroy much of the tooth structure in a short time.

The diagnosis is made by the dentist through visual inspection, using a mirror and instrument called a dental explorer, and with the help of a radiological examination, which provides more information on the extent of the caries and interproximal lesions.
When the cavities are incipient (small) and have only affected the enamel, they do not cause pain, but if the cavities extend toward the inside of the tooth, the ingestion of sweets, cold or hot drinks can cause discomfort, sensitivity, and even pain.
When the infection progresses, the pain can be intense and continuous, resulting in complications such as reversible or irreversible pulpitis or more serious infections.
Conclusion
There are several risk factors for caries:
- Defects in the tooth surface
- Dugary or acidic foods
- Deficient fluoride in the teeth
- Reduced flow of saliva (for example, due to drugs or substances, radiation therapy for cancer, or systemic disorders that cause salivary gland dysfunction). Bacterial plaque is a film-like substance made up of bacteria, saliva, food debris, and dead cells, which is continuously deposited on the teeth.
Tartar, also scientifically referred to as calculus, is hardened plaque. It can be white, although it is usually yellow, and it forms at the base of the teeth.
For tooth decay to appear, the tooth must be prone to it, and the acid-producing bacteria and nutrients (such as sugar) that allow bacteria to grow and produce acid must also be present.
A tooth prone to decay has a relative shortage of protective fluoride in the enamel or notches, grooves, or fissures that retain plaque. Poor oral hygiene, which allows plaque and tartar to build up, can speed up the caries process. Although the mouth contains a large number of bacteria, only some types generate the acid that causes tooth decay. The bacteria most often responsible for tooth decay is streptococcus mutans.

The nutrients needed for the bacteria that cause tooth decay come from one’s diet. When children fall asleep with a bottle (unless the bottle only contains water), their teeth are in prolonged contact with formula milk, breast milk or juice, increasing the possibility of tooth decay. Large amounts of sugar in the diet also feed bacteria.
The acid in your diet accelerates the formation of tooth decay. (For example, soda, sports drinks, and energy drinks, all of which are typically acidic, tend to promote tooth decay.)
Reduced saliva flow due to medications or disorders (such as Sjögren’s syndrome) causes an increased risk of tooth decay. Older people often take medications that reduce the flow of saliva, thus increasing their risk of cavities.
Gum recession also makes tooth decay more likely to develop, as it can expose the roots of the teeth, which are not protected by an outer enamel layer. In this way, bacteria can access the inner layers of the teeth more easily. Gum recession and reduced salivary flow make the elderly more prone to tooth root decay.
Contact Us
If you need help contact us at Channel Island Family Dental, as well as on our Facebook page. At Channel Island Family Dental, we are always attentive to your needs to make a timely diagnosis. In addition, our dentists in Oxnard, Santa Paula, Newbury Park Ventura, and Port Hueneme will guide you to the best treatment to give you back your best smile.