Last Updated on: 21st August 2024, 03:24 am
According to estimates from reports such as the Global Burden of Disease Study 2017, oral diseases affect around 3,500 million people worldwide, with dental caries being one of the most frequent pathologies. This is also affirmed by the World Health Organization (WHO) which considers it as one of the main conditions. In advanced cases, it can lead to tooth loss. A dental crown or cap in poor condition or without proper care can lead to the development of underlying dental cavities under crowns.
What are dental caries?
Dental caries is a condition that occurs when bacteria is deposited and when food debris (especially simple sugars) is broken down and converted into acids that create cavities. When these cavities are deep, they affect the dental pulp (the nerve of the tooth) causing pain, infection, and in some cases, fractures that can lead to the loss of the tooth.

The foods with the greatest amount of free sugars generate cavities more easily. Among them are sweets, syrups, honey, soft drinks, fruit juices, and milk, among others. However, caries can be caused by the degradation of any carbohydrate such as potatoes, cassava, yams, bread, and the like. The most effective way to prevent cavities is to remove the plaque (bacteria and food debris) deposited on the teeth by brushing and flossing 3 times a day.
What is a dental crown?
A dental crown, also known as a “dental cap”, is a type of fixed prosthesis placed on the outside of the tooth when its structure is reduced or weakened. The crown is permanently attached to what remains of the tooth by means of “cement”.

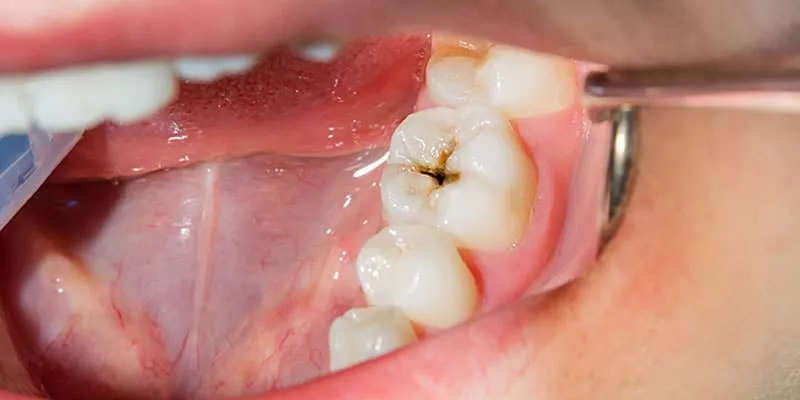
Can I have cavities under a crown?
It is a common belief that if part of the tooth structure has been replaced by an inert material, it will not suffer any damage. The truth is, although crowns are not affected by caries, the dental remnant underneath can still deteriorate.

Don’t crowns last forever? Having a crown or dental cap (fixed prosthesis) does not mean that it will be there for life since any prosthesis has a limited time duration. As the years go by, changes will occur in the teeth, gums, and even in the crowns themselves regardless of the type of material used. These changes will be reflected in:
- Gingival retraction: The gums usually suffer small retractions, either due to the passage of time or factors such as aggressive brushing, bruxism, or periodontal disease. When the gum recedes, portions of the tooth become exposed to the oral environment, especially areas where dental plaque can easily accumulate, thereby increasing the risk of cavities.
- Dthat adaptation between prosthesis and tooth: A “critical zone” is created by the union of the crown and the tooth, mediated by a special cement. Over the years, this cement can disintegrate and generate small spaces that lead to the leakage of bacteria and food debris under the crown, generating”recurrent caries” or “secondary caries”.
There are patients whose crowns have been in good condition for many years, which are generally associated with good hygiene habits and regular check-ups.
What are the symptoms of cavity under a dental crown?
Cavities under crowns are usually hard to identify, even during a dental consultation since most are not perceptible to the naked eye. In many cases, cavities under crowns are detected thanks to X-rays. It is extremely important to know the symptoms of this condition and seek dental care in case of presenting them.

The symptoms that appear as consequences of dental cavities under crowns depend upon the condition of the tooth. The typical symptoms are:
- Vitals (when a previous root canal treatment was NOT performed): In this case, the patient could present spontaneous pain and/or sensitivity to cold and heat because he still retains the nerve inside the tooth. In rare cases, there may be no symptoms.
- Non-vital (when root canal treatment was performed before crown placement): Root canal treatment involves removing the nerve from the tooth when it has been damaged. It is generally associated with past episodes of severe pain. When a very large cavity has affected the nerve of the tooth, it is usually removed and the tooth is rebuilt with a crown. When the tooth no longer has pulp (nerve) inside it, there is no pain with incipient cavities, so it is common for them to only be detected during a dental visit or through X-rays. When pain occurs in a non-vital tooth, it is usually in cases of very advanced decay that have already generated an infection in the tissues that support the tooth.
What happens if cavities are not treated under a dental crown?
Untreated dental caries can trigger intense pain, facial swelling, and serious infections, which in addition to tooth loss can compromise the patient’s general health.
What can I do if I have dental cavities under crowns?
The ideal plan is to visit the dentist for an early diagnosis, helped with the use of X-rays. If caries have already set in, it may be necessary to remove the crown to clean and restore the tooth. If there is pain, it may be necessary to kill the nerve inside it through a procedure known as “root canal treatment”.

Once the decay has been removed and there is no pain, the dentist can proceed to make a new crown with a good fit. The foregoing depends upon the destruction caused by caries – if severe – since in very advanced cases, the cavities are so large that restoration is impossible, and the loss of the tooth is expected.
How can I prevent caries if I have dental crowns?
1. Oral Hygiene
One of the easiest measures to prevent dental cavities under crowns is to practice proper oral hygiene. Keep in mind the following tips:
- Brush your teeth 3 times a day: Brushing should be done after each meal at least 3 times a day to reduce the accumulation of bacterial plaque.
- Brush all tooth surfaces: It is not enough to brush frequently. It is also necessary to ensure that the bristles of the brush completely remove the plaque, passing over all dental surfaces. A good tooth brushing takes at least 2 minutes.
- Brushing teeth with a fluoridated gel: Fluoride helps strengthen teeth against cavities by adding minerals to their surface, making them more resistant to the acids produced by bacteria.
- Floss: Flossing is essential to eliminate food debris that has accumulated between the gum and the tooth, and in the spaces between teeth.
- Interproximal brushes: They are very useful for cleaning between the crown and the gum line, where most plaque and food debris accumulate.
- Oral irrigators: They can help reduce food debris and therefore the formation of plaque bacteria.
- Cleanings in the dental office: Even if patients have good hygiene habits, it is always recommended to visit the dentist every 6 months for deep cleaning.
2. Regular visits to the dentist
It is advisable to visit the dentist every 6 months for regular dental cleanings. In addition, a complete dental exam, including X-rays, can help detect dental cavities under crowns and other conditions early, making treatment easier and cheaper.
Conclusion
Dental crowns are a very effective solution when teeth have been destroyed by decay or trauma. However, they require periodic control by the dentist and strict hygiene since over the years, they can lead to dental caries in the underlying remaining tooth.
Contact us
If you have any questions about this or other topics, you can contact us at Channel Islands Family Dental as well as our page on Facebook. We look forward to your visit and we will make a timely diagnosis. Our dentists in Oxnard, Santa Paula, Ventura, Newbury Park, and Port Hueneme will be able to guide you toward the best treatment to take care of your health and give you back your best smile.
Bibliography
- Dental Health Society. (Sep 3, 2021). What to do About Cavities Under a Dental Crown. Dental Health Society. https://dentalhealthsociety.com/crowns/what-to-do-about-cavities-under-a-dental-crown/
- Dental, N., City, S., Square, M., Parade, M., Siah, K., Chong, J., … & TMJ, T. J. What Problems Could Develop with a Dental Crown?: https://www.nofrillsdental.com/what-problems-could-develop-with-a-dental-crown/
- Tackling tooth decay. (2013). The Journal of the American Dental Association, 144(3), 336. https://doi.org/10.14219/jada.archive.2013.0121
- Cavities: Tooth Decay, Toothache, Causes, Prevention & Treatment. (Ene 14, 2020). Cleveland Clinic. https://my.clevelandclinic.org/health/diseases/10946-cavities
- Dental Crowns: What Are They, Types, Procedure & Care. (Ene 14, 2020). Cleveland Clinic. https://my.clevelandclinic.org/health/treatments/10923-dental-crowns
- Dental Crowns. (June 3, 2003). WebMD. https://www.webmd.com/oral-health/guide/dental-crowns