
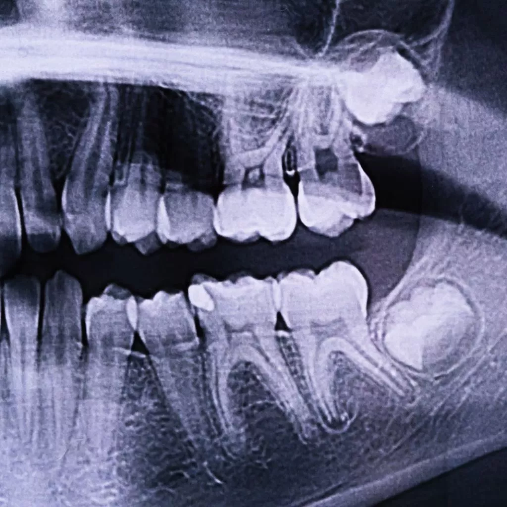
Intraoral Dental Imaging
At Channel Islands Family Dental, we use cutting-edge intraoral dental imaging to deliver precise and detailed evaluations of your oral health. This advanced technology enables us to capture high-quality images of your teeth and gums, allowing for accurate and personalized treatment plans. Visit our locations in Oxnard, Santa Paula, Ventura, Newbury Park, and Port Hueneme to discover how intraoral dental imaging can improve your dental care experience.
- Flexible and fast scheduling
- Regular quality assurance