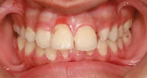
What is Trench Mouth?

Normally in the mouth, it is kept in balance with different types of microorganisms (bacteria, fungi, and some viruses), however, these generally do not manifest when we maintain adequate oral hygiene. But, when we do not brush our teeth properly, we have a diet that is high in carbohydrates, sugars, carbonated drinks, acidic foods, or […]